- 2023.06.21
アマルガムを使った虫歯の治療
このページは2024年7月26日に更新されました。(心も体も軽くなる番町D.C.運営ポリシーはこちら)
アマルガム充填とは?
歯科用アマルガムは歯科治療の歴史の中で100年以上使用されていた、歯科材料の中で最も信用と歴史のある材料です。
一口に虫歯といっても虫歯の「位置」、「原因」、「状態」によって充填方法や修復方法を選択しなければなりません。
審美治療はほとんどの場合、歯にとってベストの治療とはいいがたいといえます。
かみ合わせを狂わせて顎関節症の発症したり、歯の切削量が増すことで歯の寿命を縮めたり、材料の吸水性の性質により口腔内の衛生状態が金属を使ったものより悪くなる可能性があります。
歯の治療を正しく行うためには「歯に加わる力」や、「材料の性質」を完全に理解し、適材適所に使用する必要があるのです。
そしてアマルガム充填には歯の治療に必要なすべての要素
①ダツリや破壊されない適切な形態の付与
②硬化までに形態の削りだし
③緊密な咬合の確立
という一定レベル以上の技術が必要です。
レジン充填しかおこなったことのない先生がいきなり正確なアマルガム充填を行うことはほぼ不可能でしょう。
日本でアマルガムを行う先生が少ないわけ
日本でアマルガム充填を行う先生が少ないわけは、アマルガム充填の教育が現在ではあまり行われなくなったということに尽きます。
しかし、過去においても現在においても、初期の虫歯から、大きく欠損した虫歯まで、いまだにアマルガムに勝る充填材料はないのです。
アメリカ製のアマルガムは固まるスピードがとても速く、このスピードに慣れていないと、技術的にも治療が困難です。
アマルガムは詰まるまでの形態つくりに細心の注意が必要であることと、固まるまでの3分ぐらいで、かみ合わせの面の高さ、形態を完全に再現しなければならず、また外れないような維持形態を付けるため、歯を削る際、細心の注意が必要です。したがって、虫歯治療に必要な技術のすべてが集約されており、アマルガム充填ができない先生は歯科医ではないとアメリカではいわれるほど重要な治療です。
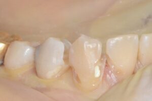
上の写真は適切に充てんされたアマルガム充填の例です。アマルガムが他の材料と比較して優れている理由には次の3つがあります。
まず、虫歯は必ず下掘れになっているため、インレーなどの修復材料では歯を多く削りすぎてしまうからです。歯を削りすぎると、かみ合わせの面を人工的に作らなければならず、かみ合わせを狂わせてしまう可能性が大きくなるからです。アマルガムはかみ合わせの面の歯の切削量を最小限にしてくれます。
次に、臼歯部には強い咬合力(噛む力)が加わるため、十分な強度が必要になります。最近よくつかわれるレジン(樹脂)は、見た目は白くてよいのですが、強度が咬合力に対して不十分であったり、吸水性(水を吸う性質)があったり、材料自体に抗菌性がありません。一方アマルガムには、金属としての十分の強度と、強い抗菌性があるため、虫歯が拡大しにくいのです。
このような理由から、私の知っている限りアメリカでもイギリスでも今でもアマルガムが初期の虫歯の治療として使われています。確かに一部の国で廃絶の運動が出ていることは事実ですが、アマルガムよりレジンの方が長持ちするとはあまり考えられません。
しかし、ゴールドインレーやゴールドフォイルのような長期間のもつのは難しく長くても20年前後と言われています。
最後にアマルガムには歯に詰めた後に膨張する性質があるため、歯に完全に適合し、歯と材料との間に空間(死腔と呼ばれる)を作ることがなく、虫歯の再発が極めて少ないです。ただ水銀が含まれている(無機水銀ですので人体には安全です)環境への問題から使用しない人もいますが、歯を長持ちさせるためには今でも欠かせない材料です。
アマルガムは自由に形を変えることができる金属であることから、さまざまな柔軟性のある治療法に使用することができます。
例えば、虫歯がひどく単に充填するだけでは歯の強度を元に戻すのが難しい歯の場合ピンを使います。
下の写真のようにピンを打って支えを作った歯にアマルガムを充填し、そのアマルガムを残したまま、ゴールド修復を行い、歯を被せることによって、強度を取り戻した歯にすることができます。


これらの治療は神経を刺激しない位置にチタン製でできたピンを打ち込まねばならず非常に神経を使う仕事です。
RECENT POST
-
2025.09.04
より分かり易いHPへ
-
2025.08.31
「歯列矯正やらなきゃよかった、やめた方がいい」と後悔するわけ
-
2025.08.30
「親知らずの抜歯」で”顔の輪郭が変わる?”
-
2025.08.29
「ナイトガード」、「マウスピース」で「噛み合わせが変わる」、「顔が変わる」
-
2025.08.03
歯科医が教える9割の人が知らない”エンパスの意味と解決法”
-
2025.08.02
体調激変で人生まで変わる!”正しい位置に顎を戻す”歯科治療
CATEGORY
- 噛み合わせ治療
- 医院について
- エネルギー治療
- 物理的歯科治療
- 抜歯治療
- 6つの治療の統合治療
- 感染予防
- マネジメント
- 自由診療
- 保険制度
- インプラント
- 求人情報
- 入れ歯
- 東洋医学と歯科治療
- 患者さんの声
- FAQ
- 全身と歯の関係
- 歯列矯正
- 修復(虫歯)治療
- 根管治療
- 顎関節症
- メンテナンス
- FAQ
- 歯科医療関係者向けコラム






