- 2023.01.27
(矯正治療)インダイレクト法比較
このページは2025年06月14日に更新されました。
矯正治療において、特にストレートワイヤー法になってからは、ブラケットをどこに着けるのか?
そしてどれだけ正確に歯に接着できるかが非常に重要になってきました。
そんな中で、インダイレクト法は、矯正治療の中で最もメジャーな方法となってきました。いかに正確にブラケットを模型上に仮付けし、それをいかに正確に歯に着けてゆくかが、矯正治療の成否を決めてしまうのですからどうしてもマスターしたい技術でした。
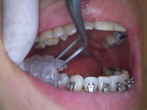
↑インダイレクト法によるブラケット装着
しかし私がそうでしたが、様々なインダイレクト法を試してみましたが、ブラケットを着けてもうまくつかなかったり、位置が正確でなかったりして、四苦八苦した揚句、結局、ダイレクト法に戻ったりしていたのです。
しかし、白須賀法では、今まで教えてもらったインダイレクト法とは別の次元で成功を収めることができる技術でした。
白須賀法はブラケットの位置を非常に正確に決めてゆきます。
歯の形、向きや歯の咬耗など、様々な要素を考慮してブラケットの位置を決めてゆくので、正しい位置にブラケットを装着さえできれば、自然に歯が並んできますし、上下の歯も咬んでくるというイメージです。
ですから今のブラケット装着法の中で白須賀法が最も優れていると私は感じています。
しかし、やはり習得が難しく、白須賀先生に技工をお願いしていらっしゃる先生も多くいらっしゃるようです。
私もあまりに習得が難しいので、一時期そうしようとも考えましたが、自分で技工をすることに意味がある(自分の治療へのフィードバックがある)と考え、殻に大変でしたがてやり続けることにしました。
白須賀先生はとても熱心に指導してくださり、おかげで、今は本当にうまく(自分なりの評価ですが)いくようになり、治療期間と治療ごとにかかる時間がが格段に短くなりました。
やはり苦労はしてもきちんとした技術を習得するのは歯科医にとっても患者さんにとっても非常に重要な意味を持つことだと思います。
白須賀法をマスターし喜んでいたのもつかの間、白須賀法だけでは解決できない噛み合わせの問題というものが立ちはだかってきました。
この噛み合わせの技術については2012年ごろから完全に治し方が分かり、今はさらに、身体を流れるエネルギーの流れを調整することで、全身の骨格のゆがみを取り除きながら歯列矯正を行うという別次元の治療へと技術が進歩してきたのです。
RECENT POST
-
2025.09.04
より分かり易いHPへ
-
2025.08.31
「歯列矯正やらなきゃよかった、やめた方がいい」と後悔するわけ
-
2025.08.30
「親知らずの抜歯」で”顔の輪郭が変わる?”
-
2025.08.29
「ナイトガード」、「マウスピース」で「噛み合わせが変わる」、「顔が変わる」
-
2025.08.03
歯科医が教える9割の人が知らない”エンパスの意味と解決法”
-
2025.08.02
体調激変で人生まで変わる!”正しい位置に顎を戻す”歯科治療
CATEGORY
- 噛み合わせ治療
- 医院について
- エネルギー治療
- 物理的歯科治療
- 抜歯治療
- 6つの治療の統合治療
- 感染予防
- マネジメント
- 自由診療
- 保険制度
- インプラント
- 求人情報
- 入れ歯
- 東洋医学と歯科治療
- 患者さんの声
- FAQ
- 全身と歯の関係
- 歯列矯正
- 修復(虫歯)治療
- 根管治療
- 顎関節症
- メンテナンス
- FAQ
- 歯科医療関係者向けコラム


