- 2024.02.04
歯とコロナワクチ〇の関係とは?
このページは2025年06月23日に更新されました。一部読みずらい部分がございます。ご了承ください。
コロナワク〇ンの接〇は2021年の6月ごろから積極的に接種されてきました。
当医院には敏感な体質の方が多く来院されるのですが、2021年の終わりごろから、歯の異常を訴える人が増えたのを感じました
私は安全性と効果が十分検証されていないワ〇チ〇を打たれることは反対でした。
コロナワクチンは敏感な人にとって歯と身体に大きな影響をうけることが分かってきました。このブログではワクチンと歯との関係について書いてゆきたいと思います。
①.〇ロ〇ワク〇ンの効果
|
①〇ロ〇ワク〇ンの効果は?
〇ロ〇ワク〇ン接〇後による重篤化予防の効果についてははっきりわかりませんが、打ったことによって新型コロナの感染を防いでくれたという感覚はあまり感じませんでした。
実際に通院中の患者さんに聞いてみると、患者さんの中にはワクチンを接種したにもかかわらず2回以上コロナに感染したという方も多くいらっしゃり、ワ〇〇ンを接種された方の方がむしろ感染の回数が多くなっているように思われました。
ワクチン接種によって却って身体の抵抗力が落ち、コロナに感染しやすくなったのではないかと私は思います。医師の間でも反復してワクチンを接〇すると抵抗力が落ち、コロナだけでなく、風邪やインフルエンザなどに感染しやすくなるという報告も見つけました。
いま日本で超過死亡者が増えていますが、これもコロナの反復接種と深い関係があるのではないかといわれています。
全くワクチンを接種しない人の話も何人か伺いましたが、コロナに感染して普通の風邪より症状は重い症状だったようですが、後遺症もなく、今のところ再感染後することなく過ごしているので、ワクチンを打たなくてよかったと話しています。ちなみに私はワクチンを打ちませんでしたが、感染しませんでした。
知り合いの方にたくさんの高齢のお客さんと親しくされている個人店を営まれている方がいらっしゃいます。、
その方の話によると〇〇〇ワクチン接〇後に、具合が悪くなったり、亡くなられた方が多くいたということでした。
マスコミのニュースでは全く流れてきませんが、生の声を聴くと、かなり不信感を抱くものでした。
その方もかかりつけの先生にワクチンを打ってもらったが、長年担当していたお医者さんだったので、「ワクチン接種後は大丈夫だったか?」とわざわざ直接電話があり、その以降怖くなってワクチンを打つのはおやめになったそうです。
②〇〇〇ワクチンの歯への影響
歯科医として患者さんを診察した感覚では、ワクチンの接〇回数が多いほど「根の病気が治りにくい」、「歯周病の悪化する」、「歯に斑点状の脱灰の部分ができる」といった〇ロ〇ワク〇ン接〇前には見られなかった上場が歯の問題が起きてきたのを感じています。
とくに根の治療は〇ロ〇ワク〇ンの接〇回数が多ければ多いほど、治りが悪くなり、治療に時間がかかるようになりました。
人によっては「何年も前に治療が終了していた根が急に痛みだす」とか「症状のなかった深い虫歯が痛み根の治療になる」とか、「根の分岐部の部分の歯が溶けて痛みが出る」といったトラブルが不自然なほど頻発するしてきました。
「〇ロ〇ワク〇ン」には循環器系や消化器系にトラブルを起こす傾向もあるように感じます。
「心疾患(冠動脈疾患)」、「脳内出血(くも膜下出血)」、「肝動脈瘤」などを起こしている方がとても多いように感じます。
さらに、一部の先生が〇ロ〇ワク〇ン接種によって、「ギランバレー症候群」が起こることがあると報告しています。実際に私の知っている人でも何名かコロナワクチン接種後「ギランバレー症候群」を発症した人がいました。
「ギランバレー症候群」は免疫異常によって四肢が動かなくなる病気なのですが、免疫反応に異常が起ることで発症するようで、そう考えると歯に起こった症状は納得できます。ちなみに「ギランバレー症候群」は時間の経過とともに治ってくる例が多いようです。私の知っている人は入院や自宅療養でなんとかふっかつしたようですが、そうでない方もきっといらっしゃると思います。
③シェディングについて
「シェディング」という言葉を聞いたことはありますでしょうか?〇ロ〇ワク〇ンを接種された方だけでなく、未接種の方の場合でもワクチン接種者の呼気を吸ってしまうことで体調を崩すことがあること聞きました。
実際私自身も〇ロ〇ワク〇ンの接種が始まってから、ワクチンを接種した患者さんを治療すると体調がとても悪く感じるようになりました。
そこで仕方なく、ワクチンを接種した方は3か月程度治療を期間を開けてから来院して頂くようにしました。
患者さんの中には、ワクチン接種をしていないにもかかわらず、胸が痛い、呼吸が苦しいなどの症状を訴える人も少なくありませんでした。
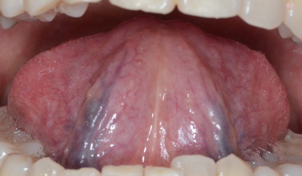
東洋医学では舌の色や形を診ることによって全身の状態を把握することが出来ます。これを「舌診」といいます。
私は医療氣功師になってから、東洋医学を深く勉強するようになり「舌診」もできるようになりました。そこで普段から患者さんの歯だけでなく、健康状態をチェックするために舌診をしています。
コロナが蔓延してからここ2年間患者さんの舌の状態を診てきましたが、ワクチン接〇者もそうですが「シェディング」の影響を受けた方の多くが「瘀血」という血液循環障害に陥っていました。舌の裏側の血管が黒く浮き出ているので、誰でもすぐ自分が「瘀血」かどうかを知ることが出来ます。
下、瘀血の人の舌(裏に黒い血管が浮き出る)

舌は歯の治療後(黒い血管は薄くなっている)

「瘀血」とは血液がドロドロになって身体に血液がうまく回らなくなる状態のことを言います。
「気血水」のうちの「血」に問題が起きた症状で、「身体の冷え」や「疲れが取れない」、「肌や髪の毛の艶がない」、「筋が痛む」などの症状が出やすく、「心疾患(心筋梗塞や心不全)」、「脳出血」、「肝動脈瘤」などの循環障害を起こしやすい状況です。
最近、芸能人の多くが「心筋梗塞」、「心不全」や、「脳出血」、「脳梗塞」など、循環系のトラブルで亡くなる方が多いのは、実はコロナワクチンやシェディングの影響ではないかと私は疑っています。

④〇ロ〇ワク〇ン副反応からの回復法?
〇ロ〇ワク〇ンを接〇されても、全員がこのような症状が出るわけではないので、これがすべて〇ロ〇ワク〇ンが原因であると判定することも難しいといえます。
ワクチンがmRNAワクチンというもので、反応も単純な薬とは異なり、起こった反応をコロナワクチンとすべて結びつけることが難しい上、原因とすることが難しいといえるでしょう。しかし、私が最近周りの人や、電車などで見かける人を見る限り、体調が非常に悪そうで、1月になって寒くなってからさらに体調不良の人が増えたように感じますし、相変わらず杖を突いている人が非常に増えたように感じていて、これだけたくさんの人に身体の影響が出ていることを考えるとコロナワクチンの影響を疑わざるを得ません。
今のところ西洋医学的にこのような問題を解決するすべがないのですが、東洋医学を使った方法がいくつかあります。氣功や漢方で、改善した例が多くあります・
また、心臓の問題は上下の「奥歯6番」や「前歯」に出やすく、これらの歯には「虫歯」、「詰め物の脱離」、「異常な歯のしみ」などが起こりやすくなります。
このような症状を治したことで、不調が治る患者さんが多くいらっしゃいます。歯に異常が出たら放置しないでできるだけ早めに治療をしておくべきだと思います。
歯と身体は繋がっています。全身の不調を改善するためにも歯の治療は一役買っているのです。
また当院では会員の方にはこの「瘀血」を治す漢方入浴剤をお渡ししております。(詳しくは会員特典をご覧ください)
不調をお感じの方で、診療を希望される方はまず、カクンセリングをお受けいただき、症状をお聞きして、治療が可能かを判断させていただきます。
こちらをお読みになって、ご連絡いただけるとありがたいです。
RECENT POST
-
2025.09.04
より分かり易いHPへ
-
2025.08.31
「歯列矯正やらなきゃよかった、やめた方がいい」と後悔するわけ
-
2025.08.30
「親知らずの抜歯」で”顔の輪郭が変わる?”
-
2025.08.29
「ナイトガード」、「マウスピース」で「噛み合わせが変わる」、「顔が変わる」
-
2025.08.03
歯科医が教える9割の人が知らない”エンパスの意味と解決法”
-
2025.08.02
体調激変で人生まで変わる!”正しい位置に顎を戻す”歯科治療
CATEGORY
- 噛み合わせ治療
- 医院について
- エネルギー治療
- 物理的歯科治療
- 抜歯治療
- 6つの治療の統合治療
- 感染予防
- マネジメント
- 自由診療
- 保険制度
- インプラント
- 求人情報
- 入れ歯
- 東洋医学と歯科治療
- 患者さんの声
- FAQ
- 全身と歯の関係
- 歯列矯正
- 修復(虫歯)治療
- 根管治療
- 顎関節症
- メンテナンス
- FAQ
- 歯科医療関係者向けコラム


